作者:兽丘独家签约病理师   李文达博士

前言:皮肤肥大细胞瘤(mast cell tumor)是猫第二常见的皮肤肿瘤,其与犬皮肤肥大细胞瘤有许多不同的特性 [1, 2]。首先, 在犬皮肤肥大细胞瘤可分为皮肤(cutaneous)和皮下(subcutaneous)两类;不过在猫却没有此种分类 [2]

猫的皮肤肥大细胞瘤有特殊的组织学分类系统,包含分化良好型(well- differentiated)、多形性型( pleomorphic ) 及非典型(atypical)三类 [2]。其次,在 2019 年之前,猫皮肤肥大细胞瘤并无可供参考的组织学分级系统( histological grading system)[4]。更重要的是,猫皮肤肥大细胞瘤的生物学行为和临床表现也与犬皮肤肥大细胞瘤相当不同 [2, 3]

因此,本报告介绍一个猫皮肤肥大细胞瘤的案例,期望可以让病理兽医师对这个疾病更加了解。

1、病史

患猫为 13 岁雌性已绝育,在过去一年于右前肢和右上眼睑出现米粒至黄豆大小的皮肤团块,遂进行手术切除并送组织病理学检查。肉眼病变检体为两块福尔马林固定良好的皮肤团块,大小约为 0.5 × 0.5 × 0.4 cm 及 0.7× 0.5 × 0.5 cm 。

2、组织病变

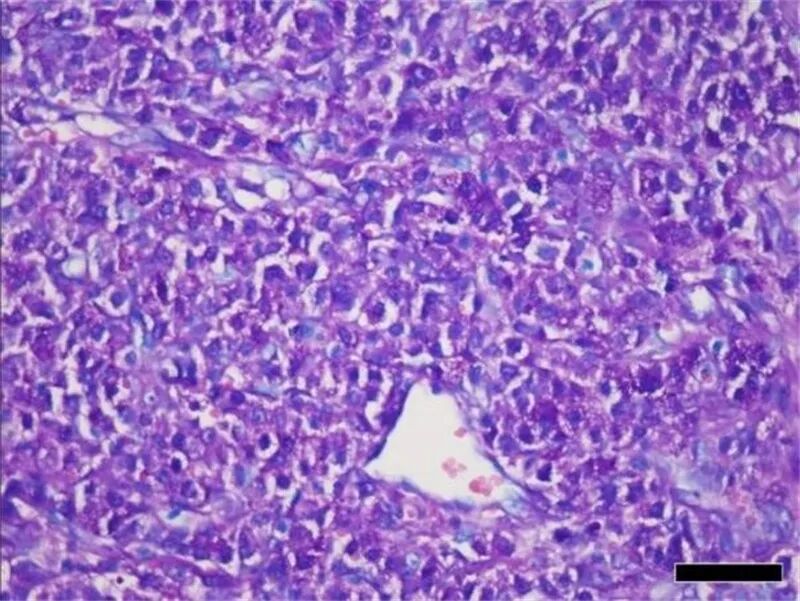
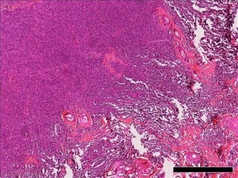
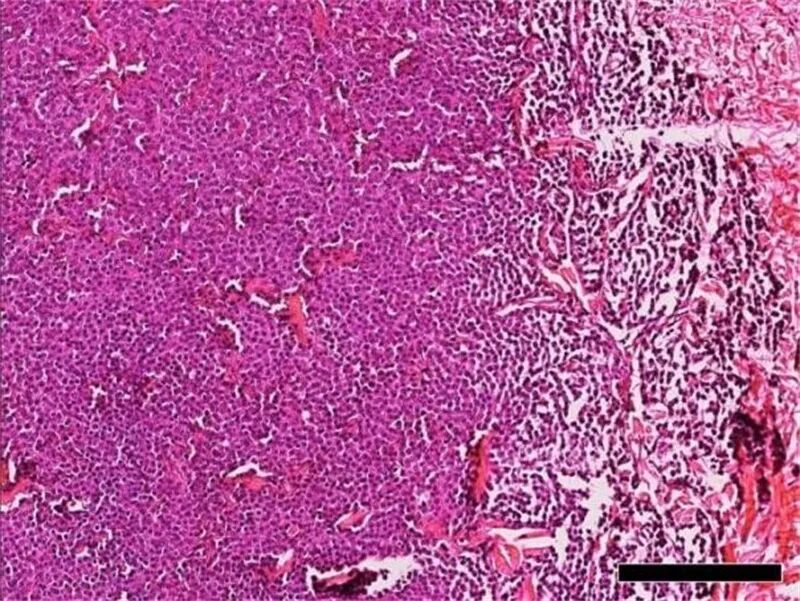
送检的两个皮肤团块在组织病理学检查下呈现相同的病变。这两个皮肤团块皆有一不具包被且与周围组织界线不清的肿瘤团块(Fig. 1)。此肿瘤团块由高密度、呈片状排列的肿瘤细胞所组成(Fig. 2)。这些肿瘤细胞为圆形至卵圆形,具有清楚至部分清楚的细胞边界,中等至丰富、颗粒样的嗜酸性细胞质。具有圆形且带有明显核仁的细胞核(Fig. 3)。这些肿瘤 细 胞 呈 现 轻 度 的细胞大小不一(anisocytosis)和核大小不一(anisokaryosis)。

有丝分裂计数(mitotic count)小于 5。肿瘤细胞没有浸润到淋巴管和血管中,肿瘤细胞距离样本边界约 5 毫米。肿瘤团块中也可见到少量的嗜酸性球浸润(Fig. 4)。基于肿瘤之解剖位置以及细胞排列和形态,主要的鉴别诊断为圆形细胞瘤,其中又以肥大细胞瘤的可能性最高。因此进行组织化学染色和免疫组织化学染色以利确诊。

图片

Fig. 1 肿瘤团块不具包被且与周围组织无明显界线。(H&E 染色,bar = 500 μm)

图片

Fig. 2 肿瘤团块由高密度、呈片状排列的肿瘤细胞所组成。(H&E 染色, bar = 200 μm)

图片

Fig. 3 肿瘤细胞为圆形至卵圆形,具有清楚至部分清楚的细胞边界、中等至丰富颗粒样的嗜酸性细胞质。(H&E 染色,bar = 50 μm)

Fig. 4 肿瘤团块中可见少量的嗜酸性球浸润(箭头)。(H&E 染色,bar = 25 μm)

3、实验室检验

组织化学染色:在Giemsa 染色下, 可见肿瘤细胞的细胞质内含有不等量之蓝紫色颗粒(Fig. 5)。

免疫组织化学染色法:使用抗 C-Kit 抗体(1:500, Genemed Biotechnologies, Torrance, CA)进行免疫组织化学染色, 结果显示肿瘤细胞对C-Kit 呈现强烈的膜阳性反应(Fig. 6)。

图片

Fig. 5 肿瘤细胞质内含有不等量的蓝紫色颗粒。(Giemsa 染色,bar = 25 μm)

图片

Fig. 6 肿瘤细胞呈现强烈的C-Kit 细胞膜阳性反应。(C-Kit 染色,bar = 25 μm)

4、诊断

多发性皮肤肥大细胞瘤、分化良好型

5、讨论

由于本病例的两个皮肤团块都是肥大细胞瘤,故诊断为猫多发性皮肤肥大细胞瘤。依据猫皮肤肥大细胞瘤的组织学分类系统,本病例的两处肥大细胞瘤皆为分化良好型。猫皮肤分化良好型肥大细胞瘤一般被认为是良性肿瘤,大多可经由手术切除而治愈 [3]

文献指出,若猫皮肤肥大细胞瘤未以手术切除干净,其局部复发之机率为 0-24%;但无论切除后手术边界是否干净,其都不易转移和造成动物死亡[2, 3]。在猫仅罹患单一的皮肤肥大细胞瘤,且没有转移至周边淋巴结的状况下, 该病例的存活时间(survival time)通常大于 5 年 [3]。然而,当猫皮肤肥大细胞瘤有丝分裂计数大于 5,该病例可能会较为恶性的生物学行为出现,导致患猫会有较短的存活时间和无病间隔(disease free interval)[2]

部分罹患皮肤肥大细胞瘤的猫,在其一生中可能会出现皮肤的肥大细胞瘤同时合并有(concurrent)脾脏的肥大细胞瘤 [2]。一般而言,猫罹患皮肤肥大细胞瘤且同时发生脾脏肥大细胞瘤是相当罕见的现象 [2, 3]。之所以使用“同时合并”这个词,是因为目前认为患猫同时有皮肤肥大细胞瘤和脾脏肥大细胞瘤,这两个肥大细胞瘤是两个不同的独立事件,而不是“转移性”病变 [2, 3]

在 2019 年有一个二分法的猫皮肤肥大细胞瘤的组织学分级系统被提出 [4]。如果有丝分裂计数大于 5,且符合下列三个标准的其中两项,包含肿瘤大于 1.5 cm、肿瘤细胞的细胞核形状不规则,核仁明显且核染质成团簇样,则该皮肤肥大细胞瘤可被归为高等级的皮肤肥大细胞瘤 [4]

本病例基于此分级系统,可归类为低等级皮肤肥大细胞瘤。根据该研究显 示,罹患高等级皮肤肥大细胞瘤的猫,其存活时间中位数(medium survival time) 为 349 天,显著低于罹患低等级皮肤肥大细胞瘤的猫,在该研究进行约 2 年期间, 并没有罹患低等级皮肤肥大细胞瘤的猫只死亡 [4]。但是,因为这个发表中所包含的病例数较少,且这个分类系统是在2019 年才被正式提出,因此目前此分级系统尚未被广泛使用。

针对免疫组织化学染色在猫皮肤肥大细胞瘤的应用上,过去有研究发现,猫咪罹患 KIT-staining pattern 1(细胞膜阳性反应)的皮肤肥大细胞瘤,其存活时间为1,675 天;然而,猫咪罹患 KIT-staining pattern 2 或 3(局部至点状或弥散性细胞质阳性反应) 的生存时间则显著较短, 仅有1,177 天 [1]。不过, C-Kit 的突变、KIT-staining pattern、肿瘤生物学行为的表现和临床预后之间的关系,在猫皮肤肥大细胞瘤是相当复杂和多样化的;因此, C-Kit 的染色结果对于猫皮肤肥大细胞瘤预后评估的价值仍无法确定 [7]。除了用C-Kit 来评估猫皮肤肥大细胞瘤的预后外,与细胞增殖指数(cell proliferative index)相关的免疫组织化学染色,如 Ki67 指数、AgNOR 计数、增殖细胞核抗原计数(proliferating cell nuclear antigen)亦曾被用来评估猫皮肤肥大细胞瘤的预后[2]

不过,过去研究中用来量测增殖指数的方法会因不同的研究而有所差异,包括计数方式的差异、评估的视野数或总面积的差异、所检查玻片区域的差异、显微镜之间视野大小的差异,以及染色或免疫组织化学技术上的差异 [2]。因此,目前仍无法将这些细胞增殖指数相关的免疫组织化学染色运用在临床检体和病例上 [2, 3]

如上所述,本病例虽然有丝分裂计数小于 5,但有多发团块,就算本病例的两处皮肤肥大细胞瘤均完整切除,仍须注意之后是否有其他新的肿瘤出现,以及是否有脾脏肥大细胞瘤的同时发生。

 


欢迎使用“微信”扫一扫即刻分享朋友圈!